菌株保藏编号:CICC 10016
中文名称:类肺炎克雷伯氏菌
拉丁名称:Klebsiella quasipneumoniae
模式菌株: 否
来源历史:←长春中国科学院应用化学研究所
收藏时间:1955-11-30
原始编号:A10
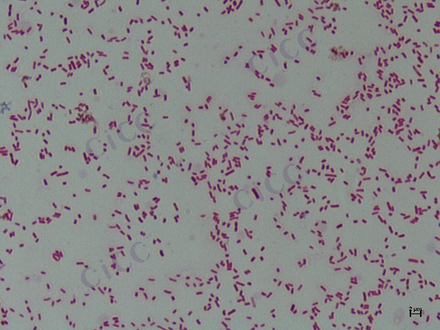
特征特性:G-,菌体单个,不运动。菌落园形,表面光滑,凸起,边缘整齐,乳白色。液体培养混浊,有沉落物。不液化明胶,无色素。发酵葡萄糖、乳糖和甘油,产气。V. P阳性,接触酶阳性,厌氧或1。最适生长温度30℃。
参考用途:产2,3-丁二醇。
生物危害程度:三类
致病对象:无


客服1