菌株保藏编号:CICC 10046
中文名称:谷氨酸棒杆菌Ⅰ型
拉丁名称:Corynebacterium glutamicum
模式菌株: 否
来源历史:←第一轻工业部发酵工业科学研究所分离
收藏时间:1965-01-01
原始编号:617-8-2
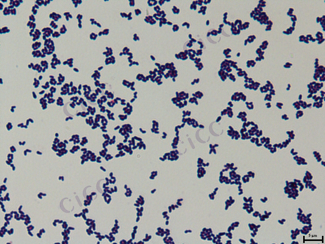
特征特性:G+,菌体短杆状,单个、成对或“V”字形排列。菌落圆形,表面光滑,中央低凸,边缘整齐,柠檬黄色。液体培养中度混浊。不液化明胶。发酵葡萄糖、果糖、麦芽糖、蔗糖和糊精,不发酵半乳糖、木糖、阿拉伯糖和乳糖。V.P 阴性,M.R. 阳性,H2S阳性,脲酶阳性,接触酶阳性,1及兼性厌氧。最适温度25~37℃,最高温度40~41℃。利用硝酸盐。
参考用途:产谷氨酸。
生物危害程度:四类
致病对象:无


客服1