您好!欢迎访问杭州沐昀科技有限公司网站!
本司产品仅用于科研,不用于临床诊断和治疗。3M 福泽爱斯 灭菌生物指示剂 ATCC菌株
全国咨询热线:15157125312
标准菌株
联系我们

【 微信扫码咨询 】

15157125312

15157125312

您的位置: 首页>标准菌株>CICC菌种

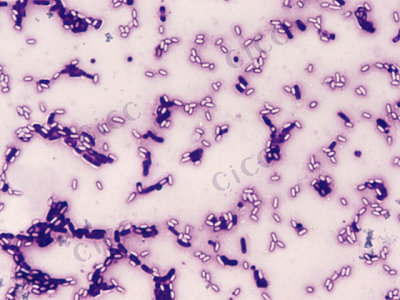
CICC10069普里斯特氏菌属Priestia sp.

菌株保藏编号:CICC 10069中文名称:普里斯特氏菌属拉丁名称:Priestia sp.曾用名:凝结芽孢杆菌模式菌株: 否来源历史:←王家勤交来收藏时间:1970-01-01特征特性:G+,菌体链状,不运动。菌落圆形,表面光滑,凸起,边缘基本整齐。液体培养混浊,有沉落物。不液化明胶,无色素。发酵甘露醇,不发酵葡萄糖、木糖、阿拉伯糖

在线咨询全国热线
15157125312
  • 菌株保藏编号:CICC 10069

  • 中文名称:普里斯特氏菌属

  • 拉丁名称:Priestia sp.

  • 曾用名:凝结芽孢杆菌

  • 模式菌株: 否

  • 来源历史:←王家勤交来

  • 收藏时间:1970-01-01

  • 特征特性:G+,菌体链状,不运动。菌落圆形,表面光滑,凸起,边缘基本整齐。液体培养混浊,有沉落物。不液化明胶,无色素。发酵甘露醇,不发酵葡萄糖、木糖、阿拉伯糖和乳糖,产气。V.P 阴性,M.R.阴性,水解淀粉,接触酶阳性,1。最适生长温度30℃,最高生长温度35℃,利用硝酸盐。

  • 生物危害程度:四类

  • 致病对象:无

在线客服
联系方式

热线电话

15157125312

上班时间

周一到周五

公司电话

15157125312

二维码
线